5LB - Cáncer de Próstata           1       

Cáncer de próstata

Por Luis Martínez Costa

Contenido

Las causas según la MC
Casos

La causa según la medicina convencional

No se conoce, pero se especula que es el resultado de una combinación de:

• Antecedentes familiares

• Edad: Mayores de 50 años

• Raza

• Dieta alta en grasas saturadas y baja en frutas y verduras

• Factores hormonales: La testosterona

• Exposición a ciertos productos químicos: Aún se están investigando los mecanismos exactos.

Estudio científico en Suiza

La italianidad se asocia con un menor riesgo de mortalidad por cáncer de próstata en Suiza

Fuente: blog, DOI10.1007/s10552-014-0456-5
Año 2014, Volume 25, Issue 11, Page 1523-1529, CANCER CAUSES & CONTROL

Conclusiones

La fuerte y consistente asociación entre la italianidad y la mortalidad por cáncer de próstata sugiere propiedades protectoras del estilo de vida italiano. Se necesitan más investigaciones para determinar qué factores específicos de la cultura italiana son responsables de la menor mortalidad por cáncer de próstata.

CNN: El rey Carlos tiene cáncer. Esto es lo que sabemos y lo que no sabemos

7 de febrero de 2024

Al rey Carlos III le han diagnosticado cáncer y ha iniciado su tratamiento en Londres.

El diagnóstico de shock se produce tras un procedimiento separado por agrandamiento de la próstata.

https://edition.cnn.com/2024/02/05/uk/king-charles-cancer-explainer-intl-gbr/index.html

El rey Carlos III sabe algo que nosotros no sabemos https://www.youtube.com/watch?v=dD6rzb_c9Ds

La detección del cáncer de próstata no es una ciencia exacta

Julie Landry Laviolette, Miami

ACTUALIZADO 21 de marzo de 2015 12:00 PM

“No hay un consenso en la comunidad médica sobre cuándo y cómo es mejor”, dice el Dr. Rosendo Collazo, médico primario de Baptist Health Primary Care en Miami Beach. “Realmente depende de que el médico conozca los factores de riesgo del paciente”.

Los hombres de 50 años o más, aquellos con historial familiar y los afroamericanos tienen un mayor riesgo.

La prueba de detección más común, el Antígeno Prostático Específico (PSA, por sus siglas en inglés), es una prueba de sangre que mide una proteína que ALGUNAS VECES se encuentra en grandes cantidades en hombres con cáncer de próstata.

“El problema con el PSA es que no es un indicador preciso. No hay un resultado numérico que indique que usted tiene o no cáncer”, dice Collazo. Tradicionalmente, la norma se estableció en 0-4 y cualquiera con resultados sobre los 4 era referido para biopsia. Pero la prueba de PSA no es confiable.

Sabemos que hay personas con cáncer de próstata que tienen un PSA menor de cuatro, y hay personas sin cáncer de próstata que tienen un PSA de seis o siete”, menciona Collazo.

Una razón es que los niveles de PSA pueden estar influidos por otros factores además del cáncer. Pueden estar elevados debido a una infección en la próstata, o reducirse al tomar medicamentos como la aspirina o las estatinas.

Usualmente, a los pacientes con niveles altos de Antígeno Prostático Específico o PSA se les somete a un examen rectal y son referidos para una biopsia. Si se detecta cáncer de próstata, el paciente es tratado generalmente con cirugía, radiación o terapia hormonal. Pero esto está cambiando.

Lo que complica el diagnóstico es que no todos los cánceres de próstatas son iguales, dice el Dr. Akshay Bhandari, codirector de la división de urología de la Universidad de Columbia del Centro Médico Mount Sinai en Miami. Hay varios grados de cáncer de próstata, desde menos o más agresivos. Los tipos de bajo nivel pueden ser de lento crecimiento y no afectar la calidad de vida por años, si llegaran a afectarla, dice Bhandari.

El Dr. Dipen Parekh, director del departamento de urología de la Escuela de Medicina Miller de la Universidad de Miami, está de acuerdo.

“Pero en Estados Unidos, detectar el cáncer significa tratarlo, incluso un cáncer de bajo nivel, que la mayoría de las veces no llegará a hacer daño”, explica.

El tratamiento puede causar más daño a la calidad de vida del paciente, sin aumentar la tasa de sobrevivencia, dice Parekh.

Aun con lo mucho que se ha avanzado, el tratamiento de cáncer de próstata es un camino difícil, dice Collazo. Puede tener como resultado impotencia e incontinencia urinaria.

“Antes de tomar esa decisión debe asegurarse de que el tipo de cáncer que tiene afectará su salud y calidad de vida, ya no todos lo hacen”, comenta.

Si se detecta un cáncer de grado bajo, se le puede dar seguimiento repitiendo biopsias e imágenes de resonancia magnética (MRI, por sus siglas en inglés), PSA y exámenes rectales, dice Parekh. “Si el cáncer continúa creciendo, hay que tratarlo. Si no, es mejor mantenerlo bajo observación por un largo período de tiempo”, dice. La Universidad de Miami tiene un programa de sobrevivencia para ayudar a los pacientes a sobrellevar el proceso.

Actualmente, los médicos están tratando de reducir biopsias y tratamientos excesivos que sean innecesarios utilizando métodos integrales de detección. Parekh fue el médico principal en la prueba clínica 4Kscore, un método de detección que está disponible desde marzo (2015) pasado. Es utilizado usualmente luego de un Antígeno Prostático Específico (PSA, por sus siglas en inglés) elevado y de la recomendación de una biopsia.

Parekh explica que el 4Kscore examina la medida de cuatro proteínas en la sangre, los resultados del examen de próstata, la edad del paciente y si el paciente ha sido sometido o no una biopsia previa. “El resultado es un índice de riesgo que predice la posibilidad de cánceres de próstata agresivos”, dice.

“El momento ideal para realizar el 4Kscore es antes de una biopsia. De forma que si el índice es alto, las probabilidades de que se encuentre un cáncer agresivo son mayores, y si el índice es bajo, como las probabilidades son menores, podría posponerse la biopsia”, comenta Parekh.

Dice que el 4Kscore tiene cerca de un 82 por ciento de precisión. “Actualmente es el modelo más preciso en el mundo para predecir un cáncer de alto grado”, menciona Parekh.

La prueba no es cubierta por los seguros médicos. El costo está entre $395 y $450. “Es un examen relativamente nuevo, pero muy pronto, debería ser adoptado por los médicos de cuidado primario”, comenta Parekh.

Los médicos dicen que el mejor acercamiento a la detección de cáncer de próstata es evaluar cada caso individualmente.

“Las pruebas de detección de cáncer de próstata han recibido una gran cantidad de críticas, porque el PSA no es el mejor examen”, dice Bhandari. “Pero no queremos tirar al bebé junto al agua del baño. Solo porque no sea perfecto no significa que hay que dejarlo a un lado. Creo que la prueba de detección aún es de gran beneficio para un grupo de cierta edad”.

Por ejemplo, un estudio reciente que muestra que los pacientes de cáncer testicular tienen una probabilidad mayor de desarrollar cáncer de próstata es significativo, porque ayuda a identificar a aquellos en riesgo, dice.

“Hay que realizar más investigaciones, pero lo que intentamos hacer es aislar ciertos grupos de alto riesgo que se beneficiarán del examen”, dice Bhandari.

La Asociación Urológica Americana recomienda que los hombres entre las edades de 55 a 69 años, sin historial familiar de cáncer de próstata y sin síntomas, hablen con sus médicos sobre los riesgos y beneficios de la prueba.

Recomendación: Hacer la prueba a partir de los 75 años

“Pero si usted tiene un hombre saludable de 75 años de edad, que va al gimnasio y que usted piensa que tiene una buena probabilidad de vivir los próximos 10 años, no es inapropiado realizarle la prueba”, comenta Bhandari.

Dice Collazo que lo más común es que la mayoría de los pacientes de cáncer de próstata son asintomáticos. Pero hay síntomas que pueden ser causados por cáncer u otros problemas y que deben ser revisados. Estos son un cambio súbito en el flujo urinario, molestia al orinar, interrupción en el flujo y cambios en la frecuencia, síntomas de infección del tracto urinario que usualmente los hombres no tienen.

“Estos son factores desencadenantes a los que se les debe dar seguimiento con un PSA, pero esos son la excepción, no la norma”, dice Collazo.

Esta historia fue publicada originalmente el 21 de marzo de 2015 - 8:00 am.

Fuente: https://www.elnuevoherald.com/vivir-mejor/salud/article15284837.html

EEUU elimina la prueba de próstata

"Los EEUU eliminan la controversial prueba de próstata."

En la revista alemana, Der Spiegel, se publicó un articulo titulado:

Se informa que la prueba no es más segura que tirar una moneda y decidir cara o sello y que muchos hombres sanos han sido operados por error. Se habla de un desastre del sistema sanitario. Se ha calculado que casi 1/4 de millón de hombres en Estados Unidos fueron diagnosticados con cáncer de próstata y más de 30.000 murieron el año pasado.

Fuente: http://www.spiegel.de/wissenschaft/medizin/0,1518,790439,00.html

¡El gobierno de los EE. UU. publicó una artículo científico en su sitio web de los Institutos Nacionales de Salud (NIH) que muestra que en promedio sólo el 2.1% de los pacientes de quimioterapia sobreviven en un tiempo de 5 años!

https://pubmed.ncbi.nlm.nih.gov/15630849/

El Dr. Graeme W. Morgan, Director del departamento de Oncología de Radiación en el Centro Oncológico Northern Sydney, expone que prácticamente de cada 100 pacientes expuestos a la quimioterapia sobreviven solo 2.

Quimioterapia, Australia-y-EEUU.

PDF

Condenan a 45 años de prisión al oncólogo conocido como 'Doctor Muerte'

Había sometido a tratamientos innecesarios a millares de pacientes, que destrozaron su salud, y por los cuales cobró millones a las compañías de seguros.

10 Jul 2015 – 03:41 PM EDT

Un oncólogo de la zona de Detroit fue condenado el viernes a 45 años de prisión por lo que un juez calificó de "horrenda" estafa a medio millar de pacientes a los que sometió a tratamientos innecesarios que destrozaron su salud, así como a compañías de seguros a las que cobró millones de dólares.

El juez federal Paul Borman escuchó de pacientes testimonios sobre huesos quebradizos y órganos destruidos, producto de la quimioterapia excesiva recetada por el doctor Farid Fata.

https://www.univision.com/noticias/salud/condenan-a-45-anos-de-prision-al-oncologo-conocido-como-doctor-muerte

Hombres sanos no necesitan pruebas para descartar cáncer de próstata

La prueba de sangre conocida como PSA para detectar el cáncer de próstata no debería continuar haciéndose a hombres sanos, recomienda un influyente comité federal estadounidense en un informe revelado el viernes que promete relanzar la polémica sobre el controversial test. Por Jean-Louis Santini. (AFP)

Paraguay, 09/10/2011

"La baja especificidad de la prueba de PSA, junto con su incapacidad para distinguir los tumores benignos de los agresivos, hace que un número considerable de hombres esté siendo sobrediagnosticado de cáncer de próstata", indicó el Grupo de Trabajo de Servicios Preventivos de Estados Unidos (US Preventive Services Task Force, USPSTF).

Basándose en los resultados de cinco ensayos clínicos, la recomendación de evitar la prueba PSA (la sigla en inglés para antígeno prostático específico) aplica para los hombres sanos de todas las edades sin síntomas sospechosos.

Esta prueba, que se realiza de forma rutinaria en hombres mayores de 50 años, mide los niveles en la sangre de una proteína producida por la próstata y ayuda a detectar células cancerosas en esta glándula.

Pero la gran mayoría de los hombres, incluso los portadores de células cancerosas, nunca se ve afectada por este tipo de cáncer, cuyo desarrollo es a menudo muy lento.

"El principal riesgo es el sobrediagnóstico y sobretratamiento. La mayoría de los cánceres que detectamos no son cánceres que lleguen a causar daño", dijo el copresidente del grupo de trabajo, Mike LeFevre, a la AFP.

"La gran mayoría de los cánceres no necesitan ser tratados y, sin embargo, el 90% de los hombres que es diagnosticado en base al PSA aquí en Estados Unidos termina recibiendo tratamiento, y los riesgos del tratamiento son importantes", agregó.

El grupo de trabajo tampoco encontró evidencias de que otras formas de detección del cáncer de próstata, como una ecografía o un examen rectal digital, sean eficaces.

El PSA, ampliamente utilizado desde los años 90, ha tenido consecuencias adversas para un gran número de hombres que se sometieron después a biopsias y otros tratamientos a menudo inútiles, a veces con complicaciones graves, de acuerdo con el USPSTF.

Un millón de hombres que se hicieron la prueba PSA y que de otra forma no hubieran sido tratados fueron sometidos a cirugía, radioterapia o a una combinación de ambas entre 1986 y 2005, según los expertos del panel.

El grupo de trabajo señaló que la evidencia sugiere que hasta cinco de cada 1.000 hombres mueren al mes siguiente de realizarse esta cirugía y que entre 10 y 70 de cada 1.000 sufren complicaciones graves.

"La radioterapia y la cirugía generan efectos adversos", añadió el grupo de trabajo, que destacó que de 200 a 300 de cada 1.000 hombres tratados con estas terapias sufren incontinencia urinaria o impotencia.

Estas complicaciones y la gran cantidad de hombres que las han sufrido han llevado al propio inventor de la prueba, el doctor Richard Ablin, a calificarla como un "desastre de salud pública".

Sin embargo, la organización estadounidense Men's Health Network, dedicada a la salud de los hombres, reaccionó el viernes estimando que las recomendaciones del comité eran "confusas".

Ana Fadich, una de las responsables de la ONG, ha dicho que podrían suponer una "amenaza significativa" a las personas en situación de riesgo que podrían tener la tentación de no practicarse la prueba.

El cáncer de próstata se le diagnostica a uno de cada seis estadounidenses, lo que lo convierte en el segundo cáncer más común en hombres después del de piel.

De acuerdo con estadísticas federales, 217.730 hombres fueron diagnosticados con cáncer de próstata en Estados Unidos el año pasado y 32.050 murieron por esa causa. La mayoría de las muertes se produjo después de los 75 años.

El Comité Federal de Salud podría tener que enfrentar, tras estas recomendaciones, una fuerte resistencia de los laboratorios farmacéuticos y los médicos, para los que el PSA es muy lucrativo. Según el doctor Ablin, el test representa un mercado de 3.000 millones de dólares al año.

http://www.lanacion.com.py/articulo/42246-eeuu-hombres-sanos-no-necesitan-pruebas-para-descartar-cancer-de-prostata.html

AFP: Los hombres sanos no necesitan hacerse la prueba de sangre conocida como PSA para detectar el cáncer de próstata, recomienda un grupo de trabajo de expertos en salud del gobierno estadounidense en un informe revelado el viernes.

07 de octubre de 2011, Ecuador

"La baja especificidad de la prueba de PSA, junto con su incapacidad para distinguir los tumores benignos de los agresivos, hace que un número considerable de hombres esté siendo sobrediagnósticado de cáncer de próstata " , indicó el Grupo de Trabajo de Servicios Preventivos de Estados Unidos (US Preventive Services Task Force) .

Basándose en los resultados de cinco ensayos clínicos, la recomendación de evitar la prueba PSA (antígeno prostático específico, según su sigla en inglés) -que mide el nivel de esa proteína en la sangre- aplica a los hombres sanos de todas las edades sin síntomas sospechosos.

"El principal riesgo es el sobrediagnóstico y sobretratamiento. La mayoría de los cánceres que detectamos no son cánceres que lleguen a causar daño " , dijo el copresidente del grupo de trabajo, Mike LeFevre a la AFP .

"La gran mayoría de los cánceres no necesitan ser tratados y, sin embargo el 90% de los hombres que es diagnosticado en base al PSA aquí en Estados Unidos termina recibiendo tratamiento y los riesgos del tratamiento son importantes " , agregó.

El grupo de trabajo tampoco encontró evidencias de que otras formas de detección del cáncer de próstata, como una ecografía o un examen rectal digital, sean eficaces.

Los expertos no estudiaron si la prueba fue beneficiosa para los hombres que ya han sido tratados por la enfermedad o que presentan síntomas sospechosos.

Un millón de hombres que se hicieron la prueba PSA y que de otra forma no hubieran sido tratados fueron sometidos a cirugía, radioterapia o a una combinación de ambas entre 1986 y 2005, según los expertos del panel.

El grupo de trabajo señaló que la evidencia sugiere que hasta cinco de cada 1.000 hombres mueren al mes siguiente de realizarse esta cirugía y que entre 10 y 70 de cada 1.000 hombres sufren complicaciones graves.

"La radioterapia y la cirugía generan efectos adversos", añadió el grupo de trabajo, y destacó que de 200 a 300 de cada 1 000 hombres tratados con estas terapias sufren incontinencia urinaria o impotencia.

Se calcula que 217 730 hombres en Estados Unidos fueron diagnosticados con cáncer de próstata y 32 050 murieron el año pasado de la segunda forma más común de cáncer en los hombres después del cáncer de piel.

https://www.elcomercio.com/tendencias/salud/hombres-sanos-no-necesitan-examanes.html

Riesgo de sobrediagnóstico

Los hombres sanos no necesitan exámenes de próstata, aseguran especialistas de EE.UU.

Archivo AFP, Bogotá - 07 Octubre 2011

Los hombres sanos no necesitan hacerse la prueba de sangre conocida como PSA para detectar el cáncer de próstata, recomienda un grupo de trabajo de expertos en salud del gobierno estadounidense en un informe revelado el viernes.

"La baja especificidad de la prueba de PSA , junto con su incapacidad para distinguir los tumores benignos de los agresivos, hace que un número considerable de hombres esté siendo sobrediagnósticado de cáncer de próstata", indicó el Grupo de Trabajo de Servicios Preventivos de Estados Unidos (US Preventive Services Task Force).

Basándose en los resultados de cinco ensayos clínicos, la recomendación de evitar la prueba PSA (antígeno prostático específico, según su sigla en inglés) -que mide el nivel de esa proteína en la sangre- aplica a los hombres sanos de todas las edades sin síntomas sospechosos.

"El principal riesgo es el sobrediagnóstico y sobretratamiento. La mayoría de los cánceres que detectamos no son cánceres que lleguen a causar daño", dijo el copresidente del grupo de trabajo, Mike LeFevre.

"La gran mayoría de los cánceres no necesitan ser tratados y, sin embargo el 90% de los hombres que es diagnosticado en base al PSA aquí en Estados Unidos termina recibiendo tratamiento y los riesgos del tratamiento son importantes", agregó.

El grupo de trabajo tampoco encontró evidencias de que otras formas de detección del cáncer de próstata, como una ecografía o un examen rectal digital, sean eficaces.

Los expertos no estudiaron si la prueba fue beneficiosa para los hombres que ya han sido tratados por la enfermedad o que presentan síntomas sospechosos.

Un millón de hombres que se hicieron la prueba PSA y que de otra forma no hubieran sido tratados fueron sometidos a cirugía, radioterapia o a una combinación de ambas entre 1986 y 2005, según los expertos del panel.

El grupo de trabajo señaló que la evidencia sugiere que hasta cinco de cada 1.000 hombres mueren al mes siguiente de realizarse esta cirugía y que entre 10 y 70 de cada 1.000 hombres sufren complicaciones graves.

"La radioterapia y la cirugía generan efectos adversos", añadió el grupo de trabajo, y destacó que de 200 a 300 de cada 1.000 hombres tratados con estas terapias sufren incontinencia urinaria o impotencia.

Se calcula que 217.730 hombres en Estados Unidos fueron diagnosticados con cáncer de próstata y 32.050 murieron el año pasado de la segunda forma más común de cáncer en los hombres después del cáncer de piel.

Fuente: AFP http://www.ntn24.com/noticias/los-hombres-sanos-no-necesitan-examenes-de-prostata-aseguran-especiali-024613

Panel de gobierno objetará prueba de cáncer de próstata

AP Escritor AOL Noticias 6/10/11, EE. UU.

WASHINGTON .- Un panel del gobierno estaría a punto de hacer una recomendación en contra de las pruebas rutinarias de sangre del antígeno prostático específico (APE) para detectar el cáncer de próstata. El Grupo de Trabajo de Servicios Preventivos de Estados Unidos analizó las investigaciones anteriores, y redactó un borrador del informe que concluye que hay poca o ninguna reducción en las muertes por este examen de rutina, pero posibles perjuicios, incluyendo cirugías y otros tratamientos innecesarios. El borrador fue obtenido por el boletín The Cancer Letter y está programado que se publique el martes.

El examen de APE ya era polémico, y grupos como la Sociedad Estadounidense para el Cáncer recomendaban a los hombres considerar los pros y los contras antes de decidir. La prueba no distingue entre un agrandamiento de la próstata y el cáncer, y el examen a menudo detecta pequeños tumores cuyo crecimiento es muy lento para que sean mortales.

El diario The New York Times y la CNN también informaron sobre los planes de la recomendación.

http://noticias.aollatino.com/2011/10/06/panel-de-gobierno-objetara-prueba-de-cancer-de-prostata/

Vitamina E

Hoja informativa para consumidores, Instituto Nacional de Salud del Gobierno de EE. UU.

En forma de suplemento las dosis elevadas de vitamina E podrían aumentar el riesgo de sangrado (menor capacidad de coagulación tras un corte o una herida) y de hemorragia grave en el cerebro (derrame cerebral hemorrágico). Debido a este riesgo, el límite superior para los adultos es de 1,000 mg/día para los suplementos tanto de vitamina E natural como sintética. Esto equivale a 1,500 UI/día para los suplementos de vitamina E natural y 1,100 UI/día para los suplementos de vitamina E sintética. Estos límites superiores son más bajos para los niños. Algunos estudios indican que tomar suplementos de vitamina E aun por debajo de estos límites superiores podría ser perjudicial. Por ejemplo, un ensayo en hombres que tomaron 400 IU/día (180 mg) de vitamina E sintética durante varios años mostró un aumento en el riesgo de cáncer de próstata.

Fuente: https://ods.od.nih.gov/factsheets/VitaminE-DatosEnEspanol/

La vitamina E sintética

La vitamina E sintética se refiere a formas de vitamina E que son creadas artificialmente en un laboratorio, en contraposición a las formas naturales de vitamina E que se encuentran en alimentos y en la naturaleza. La vitamina E sintética generalmente se produce a través de procesos químicos que intentan replicar la estructura molecular de la vitamina E natural.

La vitamina E sintética se utiliza comúnmente en suplementos dietéticos y productos cosméticos debido a su capacidad para actuar como antioxidante, protegiendo las células del daño oxidativo. Sin embargo, algunos estudios sugieren que las formas sintéticas de vitamina E pueden no ser tan efectivas como las formas naturales, y en algunos casos, pueden incluso tener efectos adversos. Es importante consultar a un profesional de la salud antes de comenzar a tomar suplementos de vitamina E sintética o cualquier otro tipo de suplemento.

Fuente: GPT

¿Qué es la vitamina E sintética?

La vitamina E sintética es una forma de vitamina E creada en laboratorio. Se produce a partir de compuestos químicos, en lugar de obtenerse de fuentes naturales como aceites vegetales, frutos secos o semillas.

Diferencias con la vitamina E natural:

• Estructura molecular: La vitamina E natural tiene una estructura molecular específica (RRR-α-tocoferol) que la hace más biodisponible y activa en el cuerpo. La vitamina E sintética es una mezcla de diferentes isómeros (RRR, RRS, RSS y RSR), algunos de los cuales son menos biodisponibles.

• Potencia: La vitamina E natural es más potente que la sintética. 1 mg de vitamina E natural equivale a 2 mg de vitamina E sintética.

• Etiquetado: La vitamina E natural se suele etiquetar como "d-alfa-tocoferol" en los alimentos y suplementos. La vitamina E sintética se suele etiquetar como "dl-alfa-tocoferol".

Posibles riesgos:

Cáncer de próstata: Algunos estudios han relacionado el consumo de suplementos de vitamina E sintética con un mayor riesgo de cáncer de próstata.

Otras enfermedades: Se necesitan más investigaciones para determinar si la vitamina E sintética puede aumentar el riesgo de otras enfermedades, como las enfermedades cardíacas o la diabetes.

En general, se recomienda obtener la vitamina E de fuentes naturales como una dieta saludable.

Vitamina E propicia cáncer de próstata

Los hombres que consuman de más este suplemento serán más propensos a desarrollar esta enfermedad

Por: REUTERS 12 de octubre de 2011

ESTADOS UNIDOS (12/OCT/2011).- Los hombres que toman vitamina E a diario serían más propensos a desarrollar cáncer prostático que aquellos que no consumen ese suplemento alimentario, según revela un estudio sobre casi 33 mil norteamericanos.

Esto implica que en una década, se esperaría que uno o dos de cada 100 hombres que consumen vitamina E desarrollen cáncer de próstata, indicaron los investigadores, cuyos resultados fueron publicados en Journal of the American Medical Association.

"Si uno tiene suficiente cantidad de esas vitaminas en su sistema (...) una cantidad extra no ayudará para nada, y demasiada cantidad de algo como esto puede ser dañina", dijo a Health Eric Klein, de la Clínica Cleveland, uno de los autores del estudio.

Los resultados llegan justo después de un estudio que sugirió que las mujeres mayores que consumen multivitaminas tienen tasas de muerte levemente mayores que aquellas que no lo hacen.

"Hay algo aquí que nos dice que tomar vitaminas no sólo no es útil sino que podría ser perjudicial" para las personas que no tienen deficiencia de ellas, añadió Klein.

Pero un investigador que no participó del nuevo estudio señaló que dudaba de que eso signifique la vitamina E provoque cáncer de próstata.

"Es un hallazgo interesante. No estoy seguro de creerlo", dijo Neil Fleshner, de la University of Toronto, quien añadió que el resultado podía deberse al azar o a un falso positivo.

Para el estudio, hombres de Estados Unidos, Canadá y Puerto Rico fueron asignados al azar a uno de cuatro grupos.

Comenzando entre el 2001 y el 2004, unos 9 mil hombres de cada grupo tomaron diariamente suplementos de 4.000 unidades internacionales (UI) de vitamina E, 200 microgramos de selenio, vitamina E más selenio o una píldora placebo sin vitaminas.

El estudio se detuvo a fines del 2008, cuando los expertos observaron un mayor riesgo de cáncer de próstata en los varones que tomaban vitamina E, aunque el equipo siguió monitoreando a los hombres luego de que abandonaran el consumo de suplementos. Ese riesgo adicional se volvió más claro con el tiempo.

Para mediados del 2011, alrededor del 7 por ciento de los hombres que habían tomado vitamina E solamente había desarrollado cáncer prostático, comparado con el 6 por ciento de aquellos asignados al tratamiento placebo.

Los investigadores no hallaron riesgo extra de cáncer de próstata en los varones que tomaron solamente selenio o que lo combinaron con la vitamina E.

Klein y sus colegas dijeron que no está claro cómo la vitamina E aumentaría el riesgo de cáncer prostático.

El autor señaló que los nuevos resultados no son pruebas definitivas de que la vitamina E cause cáncer de próstata, pero añadió que no había nada más que pudiera explicar por qué los hombres que consumían la vitamina eran más proclives a ser diagnosticados con esos tumores.

"Las vitaminas no son sustancias inocuas", finalizó Klein.

Fuente: https://www.informador.mx/Tecnologia/Vitamina-E-propicia-cancer-de-prostata-20111012-0136.html

Prueba de la próstata: No recomendable

El Servicio Preventivo de los EEUU (USPSTF) NO recomienda la prueba del cáncer de próstata basado en el antígeno prostático específico (PSA).

Fuente: https://www.uspreventiveservicestaskforce.org/uspstf/recommendation/prostate-cancer-screening

¿Es peligrosa la prueba?

La prueba puede incluir la perforación de unos 15 milímetros de largo por 2 de grueso. Se pueden realizar unas 12 perforaciones alrededor de la próstata. Se trata de una herida que representa un riesgo de lastimar los nervios y quedar impotente.

El análisis del PSA como examen de detección de cáncer de próstata

Hasta cerca de 2008, algunos médicos y organizaciones profesionales recomendaban que los hombres se hicieran anualmente un análisis del PSA a partir de los 50 años de edad. Algunas organizaciones recomendaron que los hombres que presentaban mayor riesgo de cáncer de próstata, como los afroamericanos y los hombres con padre o hermano que tuviera cáncer de próstata, comenzaran a hacerse exámenes selectivos de detección de cáncer de próstata desde los 40 o 45 años de edad. Sin embargo, conforme se supo más acerca de los beneficios y los perjuicios de esos exámenes, algunas organizaciones comenzaron a advertir contra exámenes selectivos de detección rutinarios en la población. La mayoría de las organizaciones recomiendan que los hombres que piensen hacerse el análisis del PSA que hablen primero de los riesgos y beneficios con sus doctores.

Fuente: https://www.cancer.gov/espanol/tipos/prostata/hoja-informativa-psa

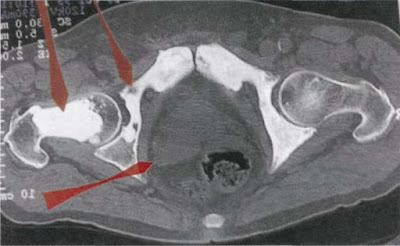
Caso Próstata y Metástasis

Locura de la medicina oficial: Las denominadas “metástasis” osteoblásticas (= que forman tejido óseo)

Por Dr. Ryke Geerd Hamer

He incluido en el texto esta imagen y las siguientes porque ilustran muy bien la locura de los diagnósticos de la medicina tradicional.

Este paciente de 64 años, va a un urólogo desde hace años para hacer controles de la próstata (conflicto: divorcio, nuevo matrimonio...). A causa de estas fotografías un día el doctor se le presentó con una cara larga y le explicó que le quedaban pocas semanas de vida, que todo el vientre estaba lleno de metástasis (entiéndase la mancha blanca). El informe del radiólogo había hablado de “metástasis osteoblástica”. Con eso ya se había pronunciado la condena a muerte. Cuando el paciente vino a mí con sus lastras durante un seminario en Mallorca, le pude explicar cosas que lo alegraron mucho. Seguidamente nos reímos mucho juntos.

El lóbulo posterior, agrandado, de la próstata (flecha de abajo a la izquierda) está atravesando una tuberculosis líquida caseosa (sudor nocturno) y produce temporalmente un desplazamiento del recto de la posición central hacia la derecha.

Los puntos óseos blancos (por ej. la flecha de arriba) son ex-osteolisis recalcificadas y muestran que el paciente, que ahora está de nuevo felizmente casado, ha resuelto positivamente su conflicto de autodesvalorización (“en el vientre ya no valgo nada”). Eso no excluye que (flecha de arriba a la derecha) no pueda sufrir una nueva y pequeña osteolisis coincidiendo con una nueva recaída en las zonas recalcificadas.

De candidato a la muerte, en el giro de unos pocos minutos, volvió a ser un hombre alegre que seguía preguntándose desconcertado: “Doctor, ¿de verdad cree que todo está ahí?”.

Para estos pacientes, literalmente asustados por la muerte misma, es mucho más difícil tener la certeza de volver a estar sanos (en este caso: recién cuando termine la intensa y floreciente TBC ), solo por el hecho de creer, a pesar que nunca han estado realmente enfermos, en una muerte inevitable, que vendrá al cabo de unas pocas semanas.

Fuente: Dr. Hamer - "Legado de una Nueva Medicina", Tomo1, capítulo 21.9.27 Schulmedizynischer Wahn: Die sog. osteoblastischen (= knochenbildenden) „Metastasen"

«El corazón alegre es buena medicina, pero el espíritu abatido seca los huesos»

Salomón
Proverbios 17:22 (NVI):

Dr. Miguel Herraez (Oncólogo): el cáncer de próstata

Ver en Youtube: https://youtu.be/VJumdtFfSXE

La prostata a la luz de las 5 Leyes Biológicas

SBS del parénquima de la próstata

Agrandamiento de la próstata (hiperplasia prostática), cáncer de próstata (adcar.)

Conflicto biológico

1. Conflicto sexual. No poder o no deber reproducirse. No sentirse lo suficientemente masculino (potente). Se tienen dudas sobre la propia masculinidad o capacidad de erección. Generalmente en hombres de edad más avanzada, que ya no reaccionan con conflicto territorial. (Dr. Hamer: “Conflicto semi-genital”).

2. Conflicto relacionado con la “misión del hombre” (satisfacer a la mujer, engendrar hijos )

3. Según Frauenkron-Hoffmann: Se piensa, que no se le está dando a los hijos el impulso o la madurez que necesitan en su camino (por ejemplo, estímulos, una buena formación, pautas de comportamiento).

Conflicto activo

Aumento funcional del tejido glandular de la próstata, crecimiento de un tumor prostático (adcar.) en forma de coliflor: crecimiento celular en las glándulas de la próstata, subida de los valores PSA. Expansión en la zona en caso de actividad de conflicto prolongada: obstrucción del flujo, dificultad al orinar.

Sentido biológico

Aumento en la producción de secreción prostática. El olor más pronunciado a almizcle en la orina y el esperma es para la mujer un indicador de potencia y disponibilidad reproductiva. Este puede mostrar su superioridad con más esperma. El macho de más edad puede mostrarle a la hembra que todavía no está “desfasado”. Una mayor cantidad de secreción prostática supone más “provisiones” para los espermatozoides en su camino.

Reparación/curación

Normalización del funcionamiento, reducción por caseificación tuberculosa que produce necrosis del tumor. Orina más turbia, fétida, en su caso con sangre. Dolores, inflamación (prostatitis), hinchazón, sudores nocturnos. Encapsulación del tumor sin síntomas, en caso de que no haya bacterias presentes. Con frecuencia, aunque no siempre, retención urinaria, ya que la próstata tiene espacio suficiente a su alrededor para ensancharse. En su mayoría es un conflicto recurrente.

Valores PSA

La enzima PSA se produce mayormente en la glándula prostática y es por ello un indicador aproximativo del tamaño de la próstata, o bien del tumor. Lo cierto es que, por desgracia, cuanto más se controle el nivel de PSA, más personas (prácticamente sanas) mueren de cáncer de próstata. Las pruebas del antígeno prostático (PSA) y las punciones de prueba no son recomendables desde el punto de vista de las cinco Leyes Naturales Biológicas.

Para los pacientes que no conocen las Leyes Biológicas, la mera afirmación de que hay algo que no está bien con la próstata puede causarle un conflicto adicional. Mucho más acusado es el diagnóstico de “cáncer de próstata”, que generalmente se hace en función de punciones de prueba.

Fuente: "Las causas anímicas de las enfermedade" por Björn Eybl

https://5leyesbiologicasperu.blogspot.com/2024/02/eybl-la-prostata.html

SBS de los conductos prostáticos

Retención urinaria sin subida considerable del PSA (carcinoma prostático intraductal, neoplasia intraepitelial prostática o PIN)

Conflicto

Conflicto con aspecto sexual de no poder demarcar límites (combinación de conflicto de próstata y vejiga).

Ejemplo

• Un empleado de 60 años tiene una mujer que desde siempre tiene poco interés en el sexo. No obstante, desde que nació su segundo hijo ya no quiere tener sexo en absoluto: conflicto con aspecto sexual de no poder demarcar límites. Con el paso del tiempo cada vez tiene más problemas al orinar: conflicto recurrente en reparación pendiente, hinchazón crónica de reparación en los conductillos de la próstata. (Archivo propio).

• La hija de un paciente está casada con un hombre que él no puede soportar. No obstante, la pareja tiene un niño al que el paciente quiere mucho. Cada vez que él y su mujer van a visitar a su nieto, el yerno sale de casa con el nieto para que sus abuelos no puedan verlo. Desde entonces sufre de retención urinaria: conflicto con aspecto sexual de no poder demarcar límites. (Archivo propio).

• Un granjero tiene una mujer 10 años más joven que él. Como él no quiere que ella fume en casa, esta se va a menudo a casa del vecino a fumar y tomar café. Cuando en una ocasión se acerca el granjero a echar una ojeada, ve a su vecino con un brazo sobre su mujer y otro sobre su hija. Si bien el vecino sólo quería ser simpático, desde entonces el granjero se pasa todo el tiempo pensando dónde puede estar metida su mujer. Empieza a tener problemas al orinar. Cuando la pareja se informa sobre las causas, la mujer deja de visitar al vecino: conflicto con aspecto sexual de no poder demarcar límites. (Véase Berger-Lenz, M., Ray, Christopher. “faktor-L Neue Medizin”).

Conflicto activo

Flaccidez de la musculatura lisa anular de los conductos prostáticos (urotelio), solamente después se produce una pérdida celular en los conductos excretores, generalmente inadvertida: ensanchamiento del lumen.

Sentido biológico

La ancha musculatura anular permite una mejor entrega del secreto prostático para marcar territorio y para el “cortejo”, el olor a almizcle es señal para la mujer de potencia y disponibilidad reproductiva.

Reparación/curación

Reconstrucción del epitelio de transición. Hinchazón durante la reparación que provoca retención urinaria, orina residual. La neoplasia intraepitelial prostática (PIN) en la MC equivale a una reconstrucción del epitelio de transición. Rasgo importante: Sin valor de PSA elevado o con pequeña subida.

En su mayoría es un conflicto recurrente.

Terapia

En caso de recurrencia, encontrar conflicto, canales, caracterizaciones y dogmas.

Fuente: "Las causas anímicas de las enfermedade" por Björn Eybl

https://5leyesbiologicasperu.blogspot.com/2024/02/eybl-la-prostata.html

Gonorrea en el hombre

El mismo SBS anterior. El síntoma principal es la secreción purulenta. Por la mañana, sale antes de la primera orina un poco de líquido purulento.

Fase

Fase de reparación o reparación pendiente: Degradación del tejido tumoral en la próstata. Pus en la orina, orina turbia, fétida, en su caso con sangre, secreción purulenta por la mañana, sudores nocturnos.

Observación

Tal como otros hombres en los siglos XVIII y XIX, Vincent Van Gogh y Paul Gauguin sufrían de blenorragia (Gonorrea). Sus relaciones sexuales indiscriminadas y “viciadas” con muchachas, Paul Gauguin incluso con niños, están documentadas.

Hoy día apenas se diagnostica la gonorrea, lo cual no es de extrañar, puesto que los tumores prostáticos se operan inmediatamente. Por ello, no da tiempo a que se produzcan inflamaciones prostáticas con secreción purulenta, ya que los cirujanos humanos llegan antes que los microcirujanos (hongos y micobacterias). Después de un prolongado conflicto activo de no poder demarcar límites, puede igualmente aparecer pus durante la fase de reparación si el tejido conjuntivo bajo la mucosa estaba afectado. Si este es el caso, apenas se tienen sudores nocturnos.

Terapia

El conflicto está ya solucionado. Acompañar reparación.

Fuente: "Las causas anímicas de las enfermedade" por Björn Eybl

https://5leyesbiologicasperu.blogspot.com/2024/02/eybl-la-prostata.html